細やかで丁寧な説明をしっかりすることで、安心して、納得してインプラントを受けられます。
大学の医局・医学部の教授、歯科医院からの紹介も多く、
医療関係者の受診が多いのも名古屋イースト歯科の特長です。
治療が痛そうで正直怖い
治療期間が長そう
通院が大変そう
費用が高そう
名古屋イースト歯科では、インプラントに不安をお持ちの方や、十分な説明を求める方など、
セカンドオピニオンを希望されるお客様も多くご来院いただいています。
お一人おひとりの不安やご要望に寄り添い、安心して治療を受けていただけるようサポートしています。
インプラント手術本数
インプラント治療を行うクリニックを選ぶ上で重要になるのが、実績や事例の数です。
なぜならば、手術数が多ければ多いほど成功率が高いというデータがあるからです。
様々な症例ケースにも対応できるようインプラント専用の機器を導入し、インプラント埋入本数が1本から、上顎、下顎すべて(12本から)、骨造成術が必要な症例など、多様な患者様のインプラント治療に対応できる万全な体制で日々施術を行なっております。
当院は院内に、認定医、大学の非常勤講師が複数名在籍しております。
患者様一人ひとりの治療計画を院内でドクター同士で検証し、院内セカンドオピニオン・サードオピニオンを実施しております。
それにより計画の精度を高める努力をしております。
インプラント治療も他の治療と同じように、症例数が多いほど、医師、医院の経験値が蓄積されていくため、技術力が高くなっていくのはもちろんのこと、「骨が少ない場合」「多くのインプラントが必要な場合」など様々な症例を対応することで、患者様の状況応じて、適切な処置ができるということです。
日本胸部外科学会では全国集計データを基に施設の手術件数と手術死亡率との相関関係を調べ、インプラントと同じ外科手術である冠動脈バイパス術などで有意な相関が認められることを2009年に報告されました。
日本歯周病学会のインプラント治療に関する調査報告
インプラントは他の歯を削る必要もなく、歯がないことによって負担をかけることもないため、他の歯のダメージを心配する必要がありません。
歯茎にしっかりインプラント体を埋め込んでいるため、もともとの歯のようにしっかり噛んで食事を楽しむ事が可能です。
人の歯茎や骨は咀嚼などによる刺激がなければ、どんどん退化していってしまいます。入れ歯などが合わなくなってくるのは歯茎や骨が退化してしまうからです。他の治療に比べ、歯茎や骨を健康に保ち続けることが可能です。また、人工歯の部分は汚れや着色などに強く、審美性に優れているのがメリットです。
万が一再治療が必要となった場合にも、保証規約に基づき再治療を行える点が特徴です。
ただし、この保証を利用するためにはインプラント治療後に、定期メインテナンス※を
受けていただくことが必須となっております。

※定期メインテナンスは、インプラント手術日から3年間は3〜4ヶ月に1回、3年目以降10年目までは半年に一回受診して
いただきます。定期メインテナンスを受診されない場合には、保証の対象外となりますので十分にご注意ください。
インプラント治療の流れとしては、
下記のような流れで進行します
まずはインプラント治療はどういった施術を行うのか、どのくらいの時間や費用がかかるのか、どのくらい保持できるのか、メンテナンス頻度などさまざまなことをお伝えし、患者様が納得できる治療法を選択していただけるように進行します。
通常の歯科治療とは異なる部分もありますから、疑問点はしっかり解消しておくことが大切です。
顎の骨に人工物を埋め込んで行う施術のため、どの位置に神経や血管があるのか、骨の厚さが本当にインプラントに耐えうる厚みを持っているかなどを確認する必要があります。
施術前の検査でわかったデータに沿って、可能な治療計画を立ててご提案します。思っていたよりも歯を支えている骨の強度や厚みが足りない場合はインプラント以外の治療をおすすめする場合もあります。歯周病が進行している場合などはそのままインプラントをすることは難しいため、まず歯周病の治療を進めてからとなります。
インプラントを埋め込むときには二段階に分けて処置を行います。
一般的にインプラントの治療期間は、下顎で約6ヶ月、上顎で約12ヶ月かかると考えられています。あくまで目安であり、歯周病を中心とした歯の病気を患っている場合は、もっと長くなる可能性があります。詳しい治療期間については、歯科医に確認しましょう。
Before
After
| 45歳 男性 | 医療関係者紹介 |
|---|---|
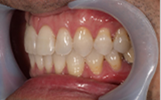
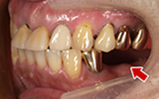
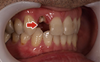
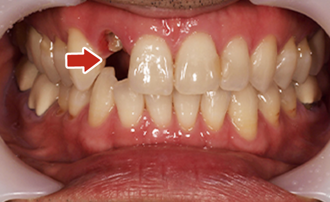
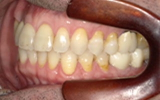
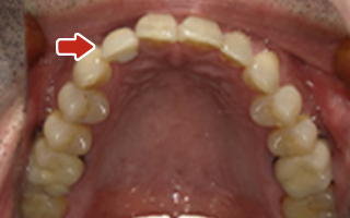
| 主訴 | 右前歯が取れた(右上2) |
| 処置内容 |
1本インプラント埋入+再生療法 抜歯即時埋入⇒抜歯を行い、同時にインプラント埋入(即時埋入) |
| 治療費用 | 上顎: 約40万円(税込) |
| 治療期間 | 約11ヶ月 |
| リスク | 上部構造物、仮歯の破折、術後の腫れ(3日)、人工歯根脱落リスクがあります |
Before
After
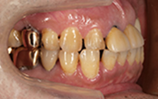
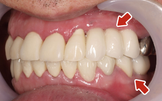
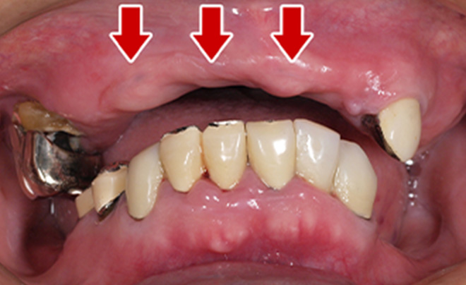
| 60歳 男性 | 歯科大学病院 教授からの紹介 ご本人は産婦人科医 |
|---|---|
| 主訴 | 左下に歯が無くて食事がしずらい |
| 処置内容 | 2本インプラント埋入+再生処置 |
| 治療費用 | 下顎: 約80万円(税込) |
| 治療期間 | 下顎: 6ヶ月 |
| リスク | 術後の腫れ、痛み(ピークは3日後、1週間で軽減) |
Before
After
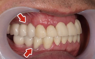
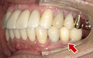
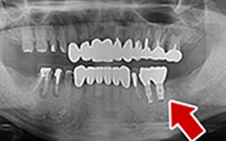
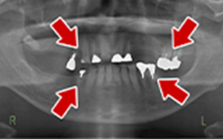
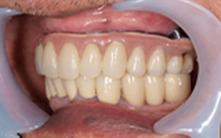
| 68歳 男性 | 紹介 |
|---|---|
| 主訴 | れ歯が合わない 食べにくい 人生を豊かにしたい |
| 処置内容 |
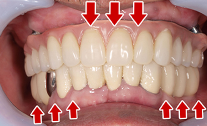
上顎4本で12歯(オールオン4)、下顎4本5歯 上下抜歯即時埋入、即時荷重(手術当日にインプラントの上に仮歯装着) |
| 治療費用 | 上顎: 約220万(税込) 下顎: 約180万円(税込) |
| 治療期間 | 上顎: 9ヶ月 下顎: 6ヶ月 |
| リスク |
術後の腫れ、痛み(ピークは3日後、1週間で軽減) 上部構造物、仮歯の破折、人工歯根脱落リスクがあります |
Before
After
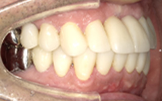
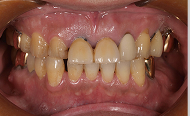
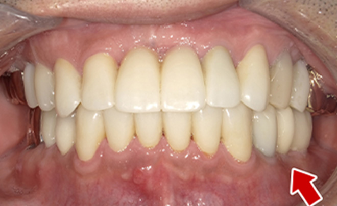
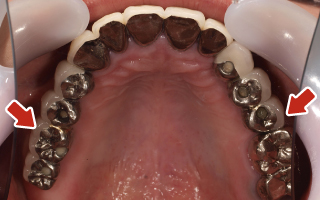
| 55歳 男性 | |
|---|---|
| 主訴 | 前歯でしか咬めなく、食事を摂るのに非常に困難で辛い |
| 処置内容 | 上顎6本、下顎3本 |
| 治療費用 | 上顎: 約230万(税込) 下顎: 約120万(税込) |
| 治療期間 | 上顎: 1年(仮歯まで8ヶ月) 下顎: 8ヶ月(仮歯まで5ヶ月) |
| リスク | 上部構造物、仮歯の破折、術後の腫れ(3日)、人工歯根脱落リスクがあります |
| インプラント |
人工歯根であるインプラント体を顎の骨に埋入する手術を行います。インプラントは生体親和性の高いチタン製で、手術には万全の環境を整えていますのでご安心ください。 |
¥220,000 (税込) |
|---|---|---|
| アバットメント |
人工歯根(インプラント体)と人工歯(上部構造、被せもの)を連結させる部分が「アバットメント」です。インプラント埋入手術時に、一緒に装着することが多いです。 |
¥88,000〜 (税込) |
| 上部構造物 |
人工歯部分です。被せものの種類に応じて価格が変動します。詳しくは被せものの項目をご覧ください。 |
¥110,000〜 (税込) |
| サイナスリフト |
サイナスリフト法とは、上顎の骨の再生手術の術式のひとつで、頬側の歯肉を剥離して骨を取り除いて上顎洞底部を持ち上げて隙間を作り、骨移植や再生療法などで骨造成を誘導する治療法です。 |
¥330,000 (税込) |
| オステオトーム法(ソケットリフト法) |
オステオトーム法とは、上顎の骨が薄い場合に、骨の厚みを増すために行われる方法です。口腔内から少しずつ上顎洞粘膜(シュナイダー膜)を押し上げ、上顎洞底部を持ち上げて隙間を作り、骨移植や再生療法などで骨造成を誘導する治療法です。 |
¥165,000 (税込) |
| GBR法 |
GBR法とは、主に骨の幅が不足している部分に、膜を覆うことで骨を作るスペースを確保し、骨補補填材を詰め骨の再生を誘導することを可能にした治療法です。 |
¥55,000〜 (税込) |
Q&A
支払い方法を教えてください。
カード、銀行振り込み、ローン、現金でのお支払いが可能です。
また、ローンは2年以内の分割であればローン金利手数料が無料です。
医療控除は使えますか?
インプラントは、医療控除対象となります。
医療保険の対象になりますか?
インプラント自体は医療保険の対象にはなりません。
しかし、インプラントに付随する抜歯や歯周病治療などに関しては保険適用が可能です。
糖尿病でもインプラント治療はできますか?
症状に変わるため、検査を受けてから総合的に判断します。
歯周病が悪化すると血糖値が上がります。
歯周病治療をまず行うことで、血糖値が下がる可能性があるためその後インプラント治療ができる可能性もあります。
当院は歯周病の認定医も在籍しておりますので安心してご相談下さい。
喫煙していてもインプラント治療はできますか?
喫煙者、非喫煙者において、データ上での差はほとんどありません。
ただし、喫煙をしない方が治りが早かったり、仕上がりが綺麗になったりする可能性が高いです。
また、喫煙者の方は将来的にインプラントが抜ける可能性はありますのでご注意ください。
現状を丁寧にヒアリングし、治療プランの提示、明確な金額のご説明等行います。
まずはお悩みをお聞かせください。(所要時間 60分)
当院では、インプラントをご希望する患者様が大変多く御来院されます。
そのため、予約が困難になっておりますが、当日翌日のご予約や、WEB予約で希望日時が埋まっている場合は、お電話にてご連絡ください。
お電話でご連絡いただけますと、時間調整ができる場合がございますので、お手数ではございますが一度当院までお電話ください。